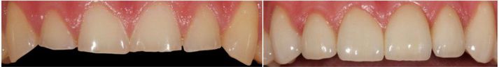
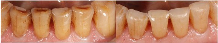
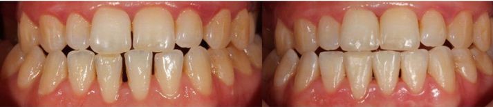
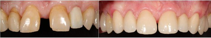
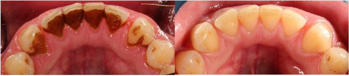
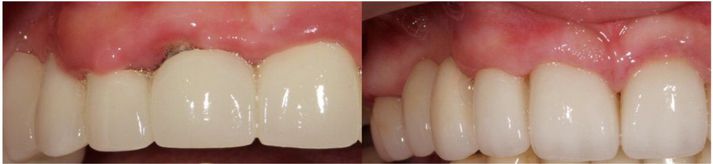
Hvernig tannlæknar leysa algeng útlitsvandamál Hvítar tennur 20. apríl 2026 09:05 „Við erum að upplifa ótrúlega spennandi og skemmtilegir tímar í tannlækningum í dag,“ segir Þórður Birgisson, tannlæknir og eigandi tannlæknastofunnar Hvítt bros Á undanförnum árum hafa tækniframfarir haft töluverð áhrif á starf tannlækna og breytt ýmsum þáttum í greiningu og meðferð. Ný tækni og bættur búnaður hafa opnað fleiri möguleika og gert tannlæknum kleift að bjóða fjölbreyttari lausnir fyrir sjúklinga. „Það þarf enginn að sætta sig við útlitslýti í brosinu í dag. Tannlæknar hafa lausnir á nánast öllum útlitsvandamálum sem hægt er að hugsa sér,“ segir Þórður Birgisson, tannlæknir og eigandi tannlæknastofunnar Hvítt bros, sem starfar bæði í Ármúla 23 í Reykjavík og í Hveragerði. Dökkar eða mislitar tennur Ef heilbrigðar tennur hafa dökknað með tímanum er tannhvíttun oft góð leið til að bæta úr því. Tannhvíttun er tiltölulega ódýr lausn sem getur gagnast mörgum til að bæta tannlitinn. Stundum eru blettir eða gamlar fyllingar að hafa áhrif á brosið eða jafnvel tannskemmdir. Þá getur verið nauðsynlegt að setja plastfyllingar ef blettirnir eru ekki mjög stórir. Í slæmum tilvikum þarf að setja postulín, annaðhvort postulíns-skeljar sem eru límdar framan á tennurnar eða krónur en þá er sett postulín utan um alla tönnina. Tannhvíttun, plastfyllingar og krónur settar til að bæta útlitið. Bil á milli tanna Ef bilið er lítið þá er stundum hægt að nota plastfyllingar, postulínskrónur eða jafnvel tannréttingar til að minnka eða loka því. Ef bilið er hins vegar stórt þarf að setja tannplanta í tannstæðið eða smíða postulínsbrú sem er fest við aðliggjandi tennur með krónum og lokar hún bilinu með postulíns tönn sem er þar á milli. Krónur settar til að minnka bil á milli framtanna og laga brosið. Plastfyllingar henta oft til að minnka bil og laga litlar skekkjur. Glerungseyðing er algengt vandamál Glerungseyðing er nokkuð algengt vandamál í dag og tengist oft neyslu á súrum drykkjum. Dæmi um það eru margir gos- og orkudrykkir, vatn með sítrónubragði, rauðvín eða hvítvín. Ef fólk þjáist af munnþurrki getur það ýtt undir að þessir drykkir skaði glerunginn enn meira. Síðan getur glerungseyðing einnig komið vegna bakflæðis. Þá þarf að fá greiningu á vandanum hjá lækni. Hér voru settar krónur til að bæta þann skaða sem glerungseyðing hefur valdið. Slit á tönnum Það er nokkuð eðlilegt að tennur slitni með tímanum. Ef slitið nær að fara í gegnum glerunginn niður í tannbeinið þarf stundum að setja fyllingar eða jafnvel krónur til að verja tönnina. Gnístur tanna á nóttinni getur leitt til þess að tennur slitni mjög hratt og þá er nauðsynlegt að sofa með hlífðargóm. Stundum rýrnar tannholdið sem er umhverfis tennurnar með tímanum og rætur tannanna koma í ljós. Þegar rótaryfirborðið verður berskjaldað getur tannburstun valdið sliti á tannbeininu sem getur leitt til tannkuls og aukinnar viðkvæmni í tönnum. Óeðlilegt bitálag getur einnig verið þáttur í auknu sliti við tannhálsa. Plastfyllingar settar til að laga slit og útlitslýti í neðri framtönnum. Tannholdsbólgur geta valdið skaða Tannholdsbólgur lýsa sér sem rautt og þrútið tannhold, blæðingu við burstun eða breytingar á tannholdhæð. Besta leiðin til að fyrirbyggja tannholdsbólgur er tannburstun tvisvar á dag með mjúkum bursta og nota tannþráð daglega og láta hreinsa tannsteininn reglulega. Bólgur við gamlar krónur sem lagast þegar nýjar eru settar. Tannholdsbólgur geta valdið ýmsum skaða. Ef þær eru langvarandi geta þær leitt til beintaps umhverfis tönnina sem er yfirleitt óafturkræft. Einnig eru rannsóknir að sýna að þrálátar tannholdssjúkdómar geti tengst öðrum sjúkdómum, svo sem hjarta- og æðasjúkdómum og jafnvel Alzheimer. Tannsteinn eykur líkur á tannholdsbólgum Margir safna tannsteini í einhverju mæli. Sumir eru samt það duglegir í þessum efnum að þeir þurfa að mæta reglulega í hreinsun á sex mánaða fresti eða jafnvel oftar til að halda honum í skefjum. Ef tannsteinn fær að sitja á tönnum lengi eykur það líkur á tannholdsbólgum. Tannhreinsun, fyrir og eftir. Tannheilsa Mest lesið Mugison þakkar innilega fyrir sig Tónlist Bréf til ókunnugrar stúlku varð upphafið að nýju lífi á Íslandi Lífið Moulin Rouge felld niður tvo daga í röð Lífið „Eins og að horfa á eftir börnunum sínum fara út í lífið“ Lífið Fékk nýtt tækifæri með nýra frá mömmu Lífið Fréttatía vikunnar: Verðbólga, eldflaug og Dior Lífið Stjörnustríðs-leynivopnið Marcia Lucas látin Bíó og sjónvarp Krakkatía vikunnar: Kóngur, kýr og mávagarg Lífið Kúluhúsið falt fyrir níutíu milljónir Lífið Eliza fór í viðtal til Kelly Clarkson: „Ég breytti ekki heiminum sem forsetafrú en ég reyndi að gera mitt“ Lífið Fleiri fréttir Ormsson með sjónvarpsmarkað í beinni útsendingu í kvöld Útivistarfatnaðurinn sem gerir íslenska sumarið betra Díllinn er nýtt app þar sem notendur finna bestu dílana Fiskikóngurinn fagnar stækkun með glæsilegri opnunarhátíð Heather Mills heldur fyrirlestur í Hagkaup Stórkostleg stemning á glæsilegri forsýningu Star Wars Hugarafl skilar nærri hálfum milljarði í samfélagslegan ávinning Svona færðu pallinn í toppstand fyrir sumarið Fulleldað sous vide lambakjöt er spennandi nýjung frá Kjarnafæði Sumir sofa eins og englar – gæti sængin verið leynivopnið? Næsta kynslóð sólarvarna fyrir andlit Einn stærsti rafbílaviðburður sumarsins Sumarveisla hjá Toyota í Kauptúni á laugardag Moroccanoil sér um glamúrinn á Eurovision Stuðningur sem skiptir raunverulega máli Betri svefngæði með bambus Meltingin eins og klukka og brennslan kikkaði í gang Hinn goðsagnakenndi óperusöngvari Sir Bryn Terfel kemur til Íslands Sjálfbær þróun kaupmannsins á horninu Bílahátíð ársins á Kletthálsi: Ofurtilboð í þrjá daga Þetta hefur gefið mér nýtt líf Húð- og feldumhirðuvörur sem draga úr ofnæmisvöldum frá hundum og köttum Hárlos hjá körlum: Hvað veldur og hvernig er hægt að grípa inn í? Nýr rafbíll BMW afhjúpaður í Hörpu Tannhjálp sinnir nauðsynlegri neyðarþjónustu tannlækna Nú er rétti tíminn til að huga að útisvæðinu „Sumarið byrjar hjá okkur“ Eva Laufey segir Hagkaup tilbúið í björtustu dagana Gerðu pallinn og svalirnar að uppáhaldsstað sumarsins! Hvernig tannlæknar leysa algeng útlitsvandamál Kaldir pottar eru orðnir hluti af daglegri rútínu margra landsmanna Sjá meira
„Það þarf enginn að sætta sig við útlitslýti í brosinu í dag. Tannlæknar hafa lausnir á nánast öllum útlitsvandamálum sem hægt er að hugsa sér,“ segir Þórður Birgisson, tannlæknir og eigandi tannlæknastofunnar Hvítt bros, sem starfar bæði í Ármúla 23 í Reykjavík og í Hveragerði. Dökkar eða mislitar tennur Ef heilbrigðar tennur hafa dökknað með tímanum er tannhvíttun oft góð leið til að bæta úr því. Tannhvíttun er tiltölulega ódýr lausn sem getur gagnast mörgum til að bæta tannlitinn. Stundum eru blettir eða gamlar fyllingar að hafa áhrif á brosið eða jafnvel tannskemmdir. Þá getur verið nauðsynlegt að setja plastfyllingar ef blettirnir eru ekki mjög stórir. Í slæmum tilvikum þarf að setja postulín, annaðhvort postulíns-skeljar sem eru límdar framan á tennurnar eða krónur en þá er sett postulín utan um alla tönnina. Tannhvíttun, plastfyllingar og krónur settar til að bæta útlitið. Bil á milli tanna Ef bilið er lítið þá er stundum hægt að nota plastfyllingar, postulínskrónur eða jafnvel tannréttingar til að minnka eða loka því. Ef bilið er hins vegar stórt þarf að setja tannplanta í tannstæðið eða smíða postulínsbrú sem er fest við aðliggjandi tennur með krónum og lokar hún bilinu með postulíns tönn sem er þar á milli. Krónur settar til að minnka bil á milli framtanna og laga brosið. Plastfyllingar henta oft til að minnka bil og laga litlar skekkjur. Glerungseyðing er algengt vandamál Glerungseyðing er nokkuð algengt vandamál í dag og tengist oft neyslu á súrum drykkjum. Dæmi um það eru margir gos- og orkudrykkir, vatn með sítrónubragði, rauðvín eða hvítvín. Ef fólk þjáist af munnþurrki getur það ýtt undir að þessir drykkir skaði glerunginn enn meira. Síðan getur glerungseyðing einnig komið vegna bakflæðis. Þá þarf að fá greiningu á vandanum hjá lækni. Hér voru settar krónur til að bæta þann skaða sem glerungseyðing hefur valdið. Slit á tönnum Það er nokkuð eðlilegt að tennur slitni með tímanum. Ef slitið nær að fara í gegnum glerunginn niður í tannbeinið þarf stundum að setja fyllingar eða jafnvel krónur til að verja tönnina. Gnístur tanna á nóttinni getur leitt til þess að tennur slitni mjög hratt og þá er nauðsynlegt að sofa með hlífðargóm. Stundum rýrnar tannholdið sem er umhverfis tennurnar með tímanum og rætur tannanna koma í ljós. Þegar rótaryfirborðið verður berskjaldað getur tannburstun valdið sliti á tannbeininu sem getur leitt til tannkuls og aukinnar viðkvæmni í tönnum. Óeðlilegt bitálag getur einnig verið þáttur í auknu sliti við tannhálsa. Plastfyllingar settar til að laga slit og útlitslýti í neðri framtönnum. Tannholdsbólgur geta valdið skaða Tannholdsbólgur lýsa sér sem rautt og þrútið tannhold, blæðingu við burstun eða breytingar á tannholdhæð. Besta leiðin til að fyrirbyggja tannholdsbólgur er tannburstun tvisvar á dag með mjúkum bursta og nota tannþráð daglega og láta hreinsa tannsteininn reglulega. Bólgur við gamlar krónur sem lagast þegar nýjar eru settar. Tannholdsbólgur geta valdið ýmsum skaða. Ef þær eru langvarandi geta þær leitt til beintaps umhverfis tönnina sem er yfirleitt óafturkræft. Einnig eru rannsóknir að sýna að þrálátar tannholdssjúkdómar geti tengst öðrum sjúkdómum, svo sem hjarta- og æðasjúkdómum og jafnvel Alzheimer. Tannsteinn eykur líkur á tannholdsbólgum Margir safna tannsteini í einhverju mæli. Sumir eru samt það duglegir í þessum efnum að þeir þurfa að mæta reglulega í hreinsun á sex mánaða fresti eða jafnvel oftar til að halda honum í skefjum. Ef tannsteinn fær að sitja á tönnum lengi eykur það líkur á tannholdsbólgum. Tannhreinsun, fyrir og eftir.
Tannheilsa Mest lesið Mugison þakkar innilega fyrir sig Tónlist Bréf til ókunnugrar stúlku varð upphafið að nýju lífi á Íslandi Lífið Moulin Rouge felld niður tvo daga í röð Lífið „Eins og að horfa á eftir börnunum sínum fara út í lífið“ Lífið Fékk nýtt tækifæri með nýra frá mömmu Lífið Fréttatía vikunnar: Verðbólga, eldflaug og Dior Lífið Stjörnustríðs-leynivopnið Marcia Lucas látin Bíó og sjónvarp Krakkatía vikunnar: Kóngur, kýr og mávagarg Lífið Kúluhúsið falt fyrir níutíu milljónir Lífið Eliza fór í viðtal til Kelly Clarkson: „Ég breytti ekki heiminum sem forsetafrú en ég reyndi að gera mitt“ Lífið Fleiri fréttir Ormsson með sjónvarpsmarkað í beinni útsendingu í kvöld Útivistarfatnaðurinn sem gerir íslenska sumarið betra Díllinn er nýtt app þar sem notendur finna bestu dílana Fiskikóngurinn fagnar stækkun með glæsilegri opnunarhátíð Heather Mills heldur fyrirlestur í Hagkaup Stórkostleg stemning á glæsilegri forsýningu Star Wars Hugarafl skilar nærri hálfum milljarði í samfélagslegan ávinning Svona færðu pallinn í toppstand fyrir sumarið Fulleldað sous vide lambakjöt er spennandi nýjung frá Kjarnafæði Sumir sofa eins og englar – gæti sængin verið leynivopnið? Næsta kynslóð sólarvarna fyrir andlit Einn stærsti rafbílaviðburður sumarsins Sumarveisla hjá Toyota í Kauptúni á laugardag Moroccanoil sér um glamúrinn á Eurovision Stuðningur sem skiptir raunverulega máli Betri svefngæði með bambus Meltingin eins og klukka og brennslan kikkaði í gang Hinn goðsagnakenndi óperusöngvari Sir Bryn Terfel kemur til Íslands Sjálfbær þróun kaupmannsins á horninu Bílahátíð ársins á Kletthálsi: Ofurtilboð í þrjá daga Þetta hefur gefið mér nýtt líf Húð- og feldumhirðuvörur sem draga úr ofnæmisvöldum frá hundum og köttum Hárlos hjá körlum: Hvað veldur og hvernig er hægt að grípa inn í? Nýr rafbíll BMW afhjúpaður í Hörpu Tannhjálp sinnir nauðsynlegri neyðarþjónustu tannlækna Nú er rétti tíminn til að huga að útisvæðinu „Sumarið byrjar hjá okkur“ Eva Laufey segir Hagkaup tilbúið í björtustu dagana Gerðu pallinn og svalirnar að uppáhaldsstað sumarsins! Hvernig tannlæknar leysa algeng útlitsvandamál Kaldir pottar eru orðnir hluti af daglegri rútínu margra landsmanna Sjá meira
Eliza fór í viðtal til Kelly Clarkson: „Ég breytti ekki heiminum sem forsetafrú en ég reyndi að gera mitt“ Lífið
Eliza fór í viðtal til Kelly Clarkson: „Ég breytti ekki heiminum sem forsetafrú en ég reyndi að gera mitt“ Lífið