Pantaðu tíma hjá tannsa núna! 13. október 2011 14:37 myndir/cover media Leikkonan Lindsay Lohan, 25 ára, gerir töluvert af því að þamba kaffi og svo reykir hún eins og strompur. Kaffiþambið og nikótínneyslan skín í gegn þegar hún brosir eins og sjá má á myndunum. Tennur leikkonunnar eru langt frá því að vera í stíl við perluhvít stellin sem stjörnurnar í Hollywood skarta því brosið hennar Lindsay er gult með brúnum blæ sem fer fram hjá fáum þegar hún brosir. Mest lesið Búlgaría fór fram úr Ísrael á síðustu stundu og sigraði Eurovision Lífið Alma himinlifandi með soninn sem lofar 45 prósenta fylgi næst Lífið Krakkatía vikunnar: Bragðlaukar, kosningar og gulrófur Lífið Stjörnuleikarar sendu yfirlýstum aðdáanda kveðju Lífið Fréttatía vikunnar: Jake Paul, Rúmeni og Bakgarðshlaup Lífið Sigurræða Ásdísar: Ætlaði allt að koll um keyra þegar Ásdís mætti Lífið Setur ávallt á sig varalit á kjördag en verður ekki með hann í kvöld Lífið „Þetta var erfiðasta ár lífs míns“ Tónlist Ljóðelskir frambjóðendur sýna hvað í þeim býr Lífið „Við flytjum aldrei héðan“ Lífið Fleiri fréttir Krakkatía vikunnar: Bragðlaukar, kosningar og gulrófur Setur ávallt á sig varalit á kjördag en verður ekki með hann í kvöld Alma himinlifandi með soninn sem lofar 45 prósenta fylgi næst Sigurræða Ásdísar: Ætlaði allt að koll um keyra þegar Ásdís mætti Búlgaría fór fram úr Ísrael á síðustu stundu og sigraði Eurovision Stjörnuleikarar sendu yfirlýstum aðdáanda kveðju Ljóðelskir frambjóðendur sýna hvað í þeim býr Fréttatía vikunnar: Jake Paul, Rúmeni og Bakgarðshlaup Oddvitaáskorunin: Ætlaði sér að verða næsti Beckham Oddvitaáskorunin: Sneri heim vegna fjölskyldunnar Oddvitaáskorunin: Dreymdi um að verða veðurfræðingur Oddvitaáskorunin: Gildran betri en Kaleo Konan sem skaut Spider Sabich til bana er látin Oddvitaáskorunin: Neitar að nota gervigreind Oddvitaáskorunin: Ennþá svekkt með úrslit Eurovision 2010 Búið spil fimm mánuðum eftir fæðingu dótturinnar Oddvitaáskorunin: Liverpool ekki vinsælasta liðið innan flokksins Oddvitaáskorunin: „Alveg óþolandi hvað ég kann illa á klukku“ Oddvitaáskorunin: Hljóp í spreng Sveinn Andri og Vigdís keyptu ótrúlega íbúð á besta stað Oddvitaáskorunin: Grét yfir bókinni í misheppnaðri útilegu Oddvitaáskorunin: Ætlaði til Akureyrar en sneri óvart við í Borgarnesi Geltandi Britney sögð hafa ógnað gestum veitingastaðar Oddvitaáskorunin: Ron Burgundy sá fyndnasti Oddvitaáskorunin: „Jólasveinn í Jólafsfirði“ Oddvitaáskorunin: „Baunateljarinn“ Framboð án eftirspurnar: Óvinsælustu örframboðin í sögu borgarinnar Oddvitaáskorunin: Streymdi hrotunum beint á Facebook Þessi lönd komust áfram á seinna undanúrslitakvöldi Eurovision Oddvitaáskorunin: Vopnið á Skaganum Sjá meira
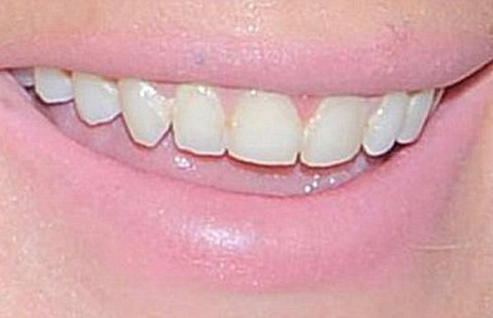
Leikkonan Lindsay Lohan, 25 ára, gerir töluvert af því að þamba kaffi og svo reykir hún eins og strompur. Kaffiþambið og nikótínneyslan skín í gegn þegar hún brosir eins og sjá má á myndunum. Tennur leikkonunnar eru langt frá því að vera í stíl við perluhvít stellin sem stjörnurnar í Hollywood skarta því brosið hennar Lindsay er gult með brúnum blæ sem fer fram hjá fáum þegar hún brosir.
Mest lesið Búlgaría fór fram úr Ísrael á síðustu stundu og sigraði Eurovision Lífið Alma himinlifandi með soninn sem lofar 45 prósenta fylgi næst Lífið Krakkatía vikunnar: Bragðlaukar, kosningar og gulrófur Lífið Stjörnuleikarar sendu yfirlýstum aðdáanda kveðju Lífið Fréttatía vikunnar: Jake Paul, Rúmeni og Bakgarðshlaup Lífið Sigurræða Ásdísar: Ætlaði allt að koll um keyra þegar Ásdís mætti Lífið Setur ávallt á sig varalit á kjördag en verður ekki með hann í kvöld Lífið „Þetta var erfiðasta ár lífs míns“ Tónlist Ljóðelskir frambjóðendur sýna hvað í þeim býr Lífið „Við flytjum aldrei héðan“ Lífið Fleiri fréttir Krakkatía vikunnar: Bragðlaukar, kosningar og gulrófur Setur ávallt á sig varalit á kjördag en verður ekki með hann í kvöld Alma himinlifandi með soninn sem lofar 45 prósenta fylgi næst Sigurræða Ásdísar: Ætlaði allt að koll um keyra þegar Ásdís mætti Búlgaría fór fram úr Ísrael á síðustu stundu og sigraði Eurovision Stjörnuleikarar sendu yfirlýstum aðdáanda kveðju Ljóðelskir frambjóðendur sýna hvað í þeim býr Fréttatía vikunnar: Jake Paul, Rúmeni og Bakgarðshlaup Oddvitaáskorunin: Ætlaði sér að verða næsti Beckham Oddvitaáskorunin: Sneri heim vegna fjölskyldunnar Oddvitaáskorunin: Dreymdi um að verða veðurfræðingur Oddvitaáskorunin: Gildran betri en Kaleo Konan sem skaut Spider Sabich til bana er látin Oddvitaáskorunin: Neitar að nota gervigreind Oddvitaáskorunin: Ennþá svekkt með úrslit Eurovision 2010 Búið spil fimm mánuðum eftir fæðingu dótturinnar Oddvitaáskorunin: Liverpool ekki vinsælasta liðið innan flokksins Oddvitaáskorunin: „Alveg óþolandi hvað ég kann illa á klukku“ Oddvitaáskorunin: Hljóp í spreng Sveinn Andri og Vigdís keyptu ótrúlega íbúð á besta stað Oddvitaáskorunin: Grét yfir bókinni í misheppnaðri útilegu Oddvitaáskorunin: Ætlaði til Akureyrar en sneri óvart við í Borgarnesi Geltandi Britney sögð hafa ógnað gestum veitingastaðar Oddvitaáskorunin: Ron Burgundy sá fyndnasti Oddvitaáskorunin: „Jólasveinn í Jólafsfirði“ Oddvitaáskorunin: „Baunateljarinn“ Framboð án eftirspurnar: Óvinsælustu örframboðin í sögu borgarinnar Oddvitaáskorunin: Streymdi hrotunum beint á Facebook Þessi lönd komust áfram á seinna undanúrslitakvöldi Eurovision Oddvitaáskorunin: Vopnið á Skaganum Sjá meira